Η Δρ. Σαπφώ Τζαννέτου ασκεί στο ιατρείο της αποκλειστικά ορθοδοντική, σε παιδιά, εφήβους και ενήλικες.
H θεραπευτική προσέγγιση μπορεί κάθε φορά να έχει προληπτικό, κατασταλτικό ή επανορθωτικό χαρακτήρα. Για παράδειγμα, προληπτική θεωρείται η διακοπή της συνήθειας του θηλασμού κάποιου δακτύλου, η οποία μπορεί να επιφέρει ορθοδοντικά προβλήματα ή η διατήρηση του χώρου μετά από πρόωρη απώλεια κάποιου νεογιλού δοντιού. Κατασταλτικό χαρακτήρα έχει για παράδειγμα η δημιουργία χώρου στο οδοντικό τόξο, ώστε να χωρέσουν αργότερα όλα τα μόνιμα δόντια χωρίς την αφαίρεση κάποιων από αυτά.
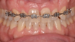
Η ορθοδοντική θεραπεία μπορεί να γίνει με διάφορους μηχανισμούς, κινητούς, ακίνητους, ενδοστοματικούς, εξωστοματικούς ή συνδυασμό αυτών. Οι ακίνητοι μηχανισμοί μπορεί να είναι μεταλλικοί ή κεραμικοί/διάφανοι. Σε περιπτώσεις μεγαλύτερων αισθητικών απαιτήσεων, υπάρχουν και οι «αόρατοι» μηχανισμοί, οι οποίοι αφορούν σε άγκιστρα τοποθετημένα στην εσωτερική πλευρά των δοντιών, καθώς επίσης και η τεχνική των διαφανών ναρθήκων.
Τέλος, υπάρχει και η δυνατότητα χρήσης των μίνι-εμφυτευμάτων (mini-screws), μία πιο μοντέρνα προσέγγιση στην ορθοδοντική θεραπεία, με τη βοήθεια των οποίων μπορεί να γίνει τοπική θεραπεία χωρίς εκτεταμένους μηχανισμούς, όπως επίσης και να αποφευχθεί η χρήση πολύπλοκων και ογκωδών μηχανισμών.
Η τελική επιλογή των μηχανισμών είναι αποτέλεσμα του σχεδίου θεραπείας, της ηλικίας του ασθενούς αλλά και των ιδιαιτέρων προτιμήσεων του.













