Περιστατικά Ασθενών


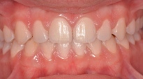
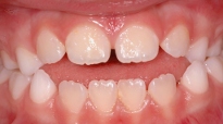
8 χρόνων, θεραπεία δύο φάσεων

1η φάση: αποκατάσταση σκελετικού προβλήματος (πρόσθια χασμοδοντία, οπίσθια σταυροειδής σύγκλειση)

2η φάση: τελειοποίηση σύγκλεισης με σταθερούς ορθοδοντικούς μηχανισμούς άνω/κάτω (εξωτερικά μεταλλικά άγκιστρα)


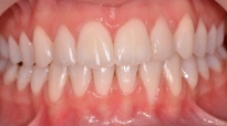
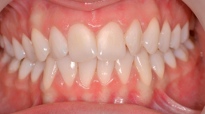
35 χρόνων, συνωστισμός δοντιών άνω/κάτω, ασύμμετρο μασητικό επίπεδο

Θεραπεία με σταθερούς ορθοδοντικούς μηχανισμούς (εξωτερικά διαφανή άγκιστρα)


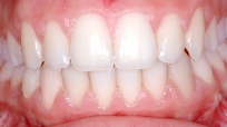
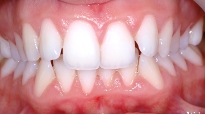
18 χρόνων, συνωστισμός άνω/κάτω οδοντικού τόξου, οπισθογναθισμός της κάτω γνάθου

Συνδυασμός ορθοδοντικής και γναθοχειρουργικής θεραπείας.
Εξωτερικά διαφανή άγκιστρα.
Χειρουργική προώθηση της κάτω γνάθου και γενειοπλαστική


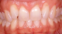
17 χρόνων, συνωστισμός άνω/κάτω δοντιών

Θεραπεία με διαφανείς νάρθηκες Invisalign

© Template 2012 Halsey, Images by GraphicSprings